My ordeal began in January 1997 with a routine sinus surgery. It would be July 2015 before it was discovered that a quarter-sized piece of the thin base of the skull above the sinuses had accidentally been removed.
Leaker Profile

At the time, I was a busy actor, writer, and photographer, and I would remain so until 2015. By then, I would be living and working in Newport, RI with my wife and three kids. I also worked nights for the security of a steady paycheck and for the health insurance benefits.
That schedule seemed to be taking a toll on my health. I lived with worsening pain. Also, I would get knocked unconscious about 2-3 times a year and I often had post-nasal drip that did not respond to medications. By August 2010 I had decided to switch to a day job for my health. During that transition, I had a series of mini strokes caused by my brain slipping through the hole. I lost math, including the ability to count above three. I struggled with my new job counting pills, but I managed with the help of the automatic pill counter and my customer service skills.
Then came THE DAY. July 18, 2013- the day after my 44th birthday. I arrived at work at 10am feeling great. At Noon, I began to get a headache. Within minutes, it was the worst migraine ever. I staggered into the shelves and collapsed. By 1pm, I was delirious. I woke up four days later. I had survived bacterial meningitis.
After I recovered, I continued to perform, work, spend time with family, and even ride my motorcycle regularly. Early in 2015, I got pneumonia twice. On the weekend of July 4th, we had a big party. I thought I had strained my neck, because I had a terrible headache. After four days of stabbing pain, I collapsed again. The diagnosis was a total shock for everybody- pneumonia and meningitis. Fortunately, this was a much milder strain.
Finally, they found the hole that had been hiding in my head since 1997. The scans showed that the bone had tried to heal, but the gap was too large, so the bone grew into spikes jutting into the brain. My left sinus cavity was filled with about an egg-sized lump of dead brain tissue. They pushed that back into my skull and sealed the hole using tissue and cartilage in my sinuses.
My deterioration had been gradual, but in those final years, it accelerated. The initial injury left me with a CSF leak that filled my lungs- my chronic post-nasal drip and eventual pneumonia. The intermittent pressure loss deprived my brain of a vital cushion, causing intense migraines and allowing for easy concussions. The brain was directly exposed to the air in my sinuses, allowing easy access for meningitis-causing organisms. Dancing and performing slapstick would cause my brain to slip past the bony spikes, causing mini-strokes. Putting it all back together added insult to injuries.
I awoke from surgery in unimaginable pain, but I forced myself to smile. The pain meant that I would recover, and that I would get to hug my family again. I live with new challenges now- neurological pain, loss of proprioception and balance, and memory loss. I have to work every day to remember even my own family. I can’t drive and can’t always walk safely. I still perform sometimes- though with restrictions. My youngest daughter, now in fifth grade, has been teaching me math and we play music for fun and therapy.
Most of my negative emotions fell through that hole- fear, sadness, anger, and stress. I am blessed to have a wonderful support group of family, friends, and community. I’m grateful for that. I don’t remember yesterday and I can’t worry about tomorrow. I live in the moment. I’m glad it’s a nice moment.

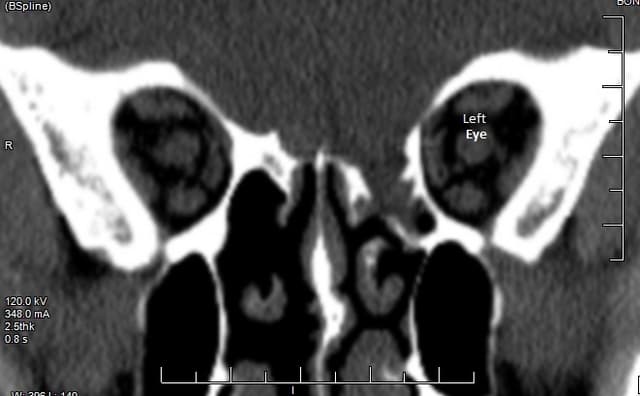
Here is the CAT scan of my injury when it was discovered in 2015. The damage was done to my left side (on the right in this photo).
You can see a bone extending from the right eye socket to the nose with a small ridge on the top that is missing from the left eye.
Just beneath where that should be on the left eye, there are two bone spikes extending into the space. Over the years, the bone tried to repair itself, but the gap was too wide, so the bone grew into bony crystalline reaching into the tissue.
The gray areas are soft tissue. Above the eyes, of course, is brain tissue. The scan shows a mass of tissue that had prolapsed into the sinus cavity below. Those bone spikes were a double-edged sword, as they held the brain in place, but when it slipped, they tore into it as well.
You can see the clear spaces of the sinus below my right eye compared to the tissue-filled sinuses on my left.
Post Surgery
After my surgery to repair the leak, they drained my spinal fluid to keep pressure off of the repair site. My daughter Mackenzie took this selfie with the bag and posted it to her social media with no explanation. She is a funny young lady!
I am so grateful that I have the chance to watch my children grow! Mackenzie recently went to Missouri to present a research paper on the effects of memes on the 2016 US elections. She spent last week presenting a research paper in Havana, Cuba on the use of standard grammar rules in academia to marginalize English-speaking people of Caribbean dialects, and in August, she will begin a year of study in South Korea!
My surgery was scheduled for November 11, 2015. On Halloween, after giving out lots of candy, I saw a friend passing by with a friend of hers. We invited them in for some drinks and by evening end, the friend of a friend whom I had never met agreed to begin shaving my head. I had decided to leave a Mohawk for the evening, and this kind young lady shaved a stranger's head on Halloween.
On November 1, we celebrated the Day of the Dead at my parent's house with a Finnegan's Wake in my honor. We were confident about the outcome, but we wanted to cement one last joyful memory with the family, just in case.

We made our best attempt at creating Liberty Spikes from my Mohawk. My son Mike blow drying my hair, held high in a spike by my daughter Mackenzie with help from my sister Dawn. Afterwards, my mom shaved the final bit of hair and we donated my long locks to a charity.